歯がボロボロ、歯が抜け続ける、歯科治療が怖い、何度治療をしても良くならない方へ。
永福町駅前歯科・矯正歯科・小児歯科では、歯がボロボロでお困りになっている多くの患者様へ、様々な治療方法でお口元の見た目や、噛み合わせの機能の回復を行なっています。
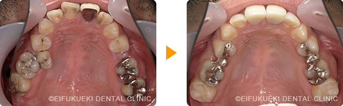
当院の実症例



| 主訴 | 歯がボロボロなので治してほしい |
|---|---|
| 診断名 | 多数歯カリエス |
| 治療内容 | 被せ物などすべて保険治療 |
| 治療期間 ・通院回数 |
被せ物は2回(ブロックごとに処置を行います)、CR歯1回 |
| 費用 | 保険適用 |
なかなか歯科医院へ行けない、歯医者さんが怖い そんなお悩みありませんか?
歯がボロボロになる原因とは
むし歯
むし歯を放置しておくと、むし歯がどんどんと進行し、最終的には歯の根の中まで進行します。むし歯の細菌によって歯が溶かされ、形がほとんど残りません。このように治療が出来ない状態になると、最終的には抜歯をすることになります。
歯周病
歯周病は、歯を支える顎の骨を溶かす病気です。 歯周病に感染した歯は、歯と歯肉の境目から出血して、やがて膿が出ます。
少しずつ歯を支える顎の骨が溶けて、歯がグラグラと揺れ、最終的には抜け落ちます。
噛み合わせの問題
噛み合わせが悪いと、歯や顎の関節にダメージを与える原因になります。 噛み合わせが悪いことで、歯と歯が強くぶつかります。その衝撃に耐えられないことで、歯が欠ける、折れる、揺れるなどの症状が出て、やがて抜け落ちてしまいます。
歯科治療が怖くて通えない
歯科治療に対しての恐怖心から、治療へ行けなかったことも歯がボロボロになる理由の1つです。当院では、勇気を出して治療へ通ってくださる患者様へ、安心して治療を受けていただけるように、リラックス麻酔を導入しています。
安心リラックス麻酔で短期集中治療
リラックス麻酔、セデーションとは?
セデーションとは、静脈内鎮静法という麻酔の方法です。
治療中に半分眠っているような、フワフワとリラックスした状態になる点滴を静脈内に注入します。そうすることで、歯科治療に対する恐怖心や緊張が大きく緩和されます。
この際、麻酔医の立ち合いのもとで行います。脈拍や呼吸などを管理し、安全に行うことが可能です。
治療が怖くて苦手な方にはもちろん、インプラント治療にも、短期集中治療を受けたい方にもセデーションをお勧めしています。
リラックス麻酔を使用して治療を受けられた患者様より
「気が付いたら治療が終わっていた」
「あれだけ緊張していたのに、治療がすぐ終わってとても楽に感じた」
「リラックス麻酔をしてもらえれば、もう歯科治療は怖くないです」
など、今まで歯科に対して恐怖心があった患者様も、安心してリラックスした状態で治療を受けていただくことが可能です。
完全個室での治療
完全個室の治療スペースなので、人目を気にせず、患者様お1人だけのリラックスした空間を確保することが可能です。
歯がボロボロな方へ 当院での治療方法
セラミック補綴


| 主訴 | 前歯の歯並びを矯正したい、見た目を綺麗にしたい |
|---|---|
| 診断名 | 上顎左右1番翼状捻転、及び他院にてCR処置後の辺縁着色 |
| 治療内容 | セラミック矯正 |
| 治療期間 | 1ヶ月 |
| 通院回数 | 仮歯型取り、仮歯セット、本印象、セラミックセット+咬合調整の4回 |
| 費用 | 287,320円(税込) |
歯がボロボロでも諦めないでください。
歯の根が残っていれば、土台をたてて、きれいなセラミックで美しいお口元へと回復することが可能です。オールセラミックを使用したブリッジの治療などで、美しいお口元を回復することが可能です。
インプラント
歯の根がなくなった場合にも、諦めないでください。
歯の根が折れた、歯周病で抜かなければいけなくなったなど、歯が部分的に抜け落ちてしまった場合には、インプラント治療で失った歯の場所を補うことが可能です。
失った歯をインプラントで補う場合や、その他の歯と連結するなど、治療方法が様々にご用意できます。
オールオン4
全ての歯を失ってしまった方も、諦めないで下さい。
当院ではオールオン4という治療で手術の翌日に、すぐ歯が入ります。
片顎4~6本のインプラントで、きれいなオールセラミックブリッジを使用して、ご自身の歯が蘇ったようなお口元へと回復させることが可能です。
ザイゴマインプラント
全ての歯を失ってしまった方も、諦めないで下さい。
顎の骨が薄くてインプラントやオールオン4、サイナスリフトも出来ないと他院様で断られてしまった方は、ぜひ諦めずに当院へご相談ください。
ザイゴマインプラントは、顎の骨だけではなく、頬の骨にインプラントの固定を求める特殊なインプラント治療です。そのザイゴマインプラント治療が当院で施術可能です。
オールオン4の治療同様、手術の次の日にはすぐに歯が入ることも、ザイゴマインプラントの大きな特徴です。
治療期間の目安
仮歯について
仮歯は1日で入れることが可能です。
抜歯が必要な治療でも、1日で仮歯を入れることができます。
施術例
- セラミックブリッジの治療で、抜歯が必要な場合
抜歯の前日に仮歯の型取り→当日、抜歯後に仮歯をセット
歯が無い状態でご帰宅いただかず、当日に歯が入るので見た目を気にする必要がありません。
オールセラミック治療について(複雑な治療がない、1〜2本の場合)
患者様のお口の状態や治療方法にもよりますが、早い方では3日ほどでオールセラミックの歯が入ります。
施術例
- Day1 治療前日に仮歯の型取り
- Day2 治療当日に歯を削り、仮歯のセットとセラミック歯の型取り
- Day3 セラミック歯のセットをして問題がなければ完了
オールセラミック治療について(歯周病や歯の根の治療が必要な複数歯の場合)
治療する歯の本数や状態によりけりですが、3ヶ月以内にオールセラミックの最終的な歯が入ります。
オールオン4について
オールオン4では手術の翌朝に、きれいな仮歯が入ります。 オールセラミックの完成の歯は、3ヶ月ほどで入ります。
ザイゴマインプラント
ザイゴマインプラントでは手術の翌朝に、きれいな仮歯が入ります。
ザイゴマインプラントの完成の歯は、3ヶ月ほどで入ります。
当院のこだわり
永福町駅前歯科・矯正歯科・小児歯科では、完成の歯を入れるまでに仮歯を何度か製作することで、最終的なお口元のイメージへと近づけます。そうすることで患者様が最高に満足できる、オールセラミックの美しい歯を手に入れることができるのです。
冨田先生より、患者様へのメッセージ
『お気軽にご相談ください』
患者さんが初めて来院される際は、不安で仕方ないという方がとても多いです。
- それまでの人生で、何かお辛いことや大変なことがあり、ご自身の歯のケアが疎かになってしまっている方。
- 歯科医師に怒られるのではないか、といった不安でなかなか来院できない方。
- 自分の歯がボロボロで、もう一生治らないのではないか、と思ってしまう方。
このように、患者さんの不安の要因や、お口の歴史はさまざまです。
歯がボロボロ状態のお口では、咬合高径と言って、噛み合わせの高さが崩壊している方が多いため、歯が全て存在していた若い時の状態と同じように治療をして戻す必要があります。
そうすることで、食物をしっかりと噛み切ることができ、味わうことができます。
よく噛めることによって、胃や小腸の負担が軽減し、栄養の吸収も良くなります。
そうすると、本来の「良質な血液」・「良質なホルモン」を造るとことに体が専念でき、徐々に健康な体になり、気持ちも前向きになっていきます。
また、噛み合わせが回復することで、お顔やお口元のシワが減ることも期待できます。
ですので、ご自身の歯がボロボロの状態であっても、大丈夫です。
東京近郊からここ永福町に、歯がボロボロで悩んでいた、多くの患者様が足を運んでくださっています。
今ある歯を最大限に残しながら、治療が必要な場所はしっかりと治療を施します。
その後は、お口の中の良い状態を長く維持できるように、定期検診でのクリーニングや噛み合わせの調整など、メンテナンスにも力を入れています。
歯がボロボロでお困りの方は、永福町駅前歯科・矯正歯科・小児歯科までお気軽にご相談いただければと思います。心よりお待ちしています。
よくある質問Q&A
- 歯がボロボロです、歯を抜かなければいけませんか?
- 詳しく診断し、なるべく歯を残すために努力をいたします。しかし、抜歯をしなければならない場合にも安心してください。
当院では、インプラントやオールオン4、ザイゴマインプラントなどで歯が抜けた場所を、しっかりと回復することが可能です。 - 痛みが苦手で、なかなか問い合わせる勇気がありません。どうすれば良いですか?
- 治療をするか、しないかを判断するのは後からで構いませんので安心してご相談にお越しください。治療プランを口頭でお伝えいたしますので、ご自宅に戻られてからゆっくり判断していただければと思います。初診の場合には、保険診療のレントゲン撮影と口腔内診査で約4,000円前後の費用でご相談いただけます。加えてインプラントや矯正は無料相談があります。
- 私の場合に、治療費用はどのくらいですか?
- お口の中の状況や、治療の内容によって個人差がございますので、まずはお問い合わせください。なるべくお早めにお問い合わせをいただき、ご相談していただくことで、症状が進行して手遅れにならずに治療費用を抑えることが可能です。
- 治療にはどのくらいの期間がかかりますか?
- お口の中の状況によりけりで個人差はございますが、早い方で3日です。 全体的な治療は、頑張って通っていただければ3ヶ月ほどで治療が完了いたします。


